お口の状況やご要望に合わせて
選べる矯正
しっかり矯正
ワイヤー矯正
費用を抑えて矯正
目立たない

マウスピース型矯正
お口の状況やご要望に合わせて
選べる矯正
ワイヤー矯正

マウスピース型矯正
Counseling
目立たず自然に、あなたの
理想の笑顔を手に入れませんか?
自由が丘・妙蓮寺の
専門医が対応
先端3Dスキャンで
未来の歯並びを無料体験
まずは無料相談へお越しください
歯列の状態を診断し、ご要望を伺った上で
あなたにあった矯正装置をご提案します。
矯正治療には、マウスピースを使用するマウスピース型矯正の他にも、
一般的なワイヤー矯正(表側矯正)や、装置が目立つことがないようにブラケットを
歯の裏側に装着する裏側矯正など様々な種類があります。
それぞれの矯正治療のメリット・デメリットを比較して、自分に合った矯正治療を見つけていきましょう。
| マウスピース型矯正 | ワイヤー矯正 (表側矯正) |
裏側矯正 | |
|---|---|---|---|
|
|
|
|
| 目立ちにくさ | 透明な装置のため目立ちにくい | 金属を歯の表面につけるため、目立ってしまう | 歯の裏側に金属をつけるため、分かりにくい |
| 取り外し | 可能 | 不可 | 不可 |
| 金属アレルギー | 金属アレルギーの 心配は不要 |
素材によっては 注意が必要 |
素材によっては 注意が必要 |
| 痛み | ほとんどない | 違和感・不快感を 感じることがある |
痛みを感じやすい |
| むし歯の なりやすさ |
取り外し可能で 通常通り歯磨きが できるためなりにくい |
食べ物が挟まったり、 歯磨きがしづらいため むし歯になる場合がある |
通常よりも歯磨きが しづらいため、 むし歯になる場合がある |
| 歯磨きの しやすさ |
取り外しが可能なので通常通り歯磨きができる | 取り外しができないため歯磨きがしにくい | 取り外しができないため歯磨きがしにくい |
| 通院の間隔 | 2~3ヶ月に1回 | 月に1回 | 月に1回 |
| 治療費 | 費用を抑えることが出来る | 費用を抑えることが出来る | 他の方法と比較すると高額となってしまう |
マウスピース型矯正装置は、透明なマウスピース型の矯正装置を使用して
歯列を矯正していく治療方法のことをいいます。
矯正と聞くと、歯に金属のワイヤーなどを装着して治療していくというイメージが強く、目立ってしまうため
抵抗がある方も多かったかと思いますが、この方法ですとその心配がありません。
患者様の歯並びの状態やご希望に合わせて最適な矯正装置をご提案いたします。
マウスピース型矯正装置(インビザライン)は、2021年5月時点で、全世界の100カ国1,000万人の方が使用している矯正治療です。
※マウスピース型矯正装置(インビザライン)は薬機法対象外となります。
01 取り外し可能 Removal
02 透明で
目立たない Transparent
03 通院回数が
少ない Outpatient
04 様々な症例に
対応出来る Various cases
05 金属アレルギーの方
も治療できる Metal allergy
06 痛みや違和感が
少ない Less pain
07 デジタル
シミュレーションが
できる Simulation
08 むし歯になりにくい Decay
美しいスマイルと自分への自信
しっかり咬めてメンテナンスしやすい
歯並びを手に入れることが可能です
インビザラインは
美しい歯並び、美しいスマイル、そしてご自身への自信をもらたします。
それは、よく咬めてメンテナンスしやすい歯並びでもあり
あなたの健康を保ちます。
対応する症例が多く、重度の歯列移動が必要な場合にも、きれいに矯正治療を行うことが可能です。歯の表面にブラケット(ワイヤーを通すための土台)を装着し、様々な方向へ力をかけられます。
重度の症例の場合は、マウスピース型矯正装置よりも、費用を抑えられるメリットがあります。
矯正治療では、歯に力をかけて、想定する理想的な位置へと誘導します。
歯の移動は、歯根が歯槽骨(顎の骨)の中を移動することにより起こります。
ワイヤーやマウスピースどちらを使用してもこの考え方は変わりません。
しかし、力をかけたい方向によって、どちらの装置が適しているかを診断する必要があります。
ご要望を伺い、治療結果が最良なものになるよう丁寧にご説明いたします。
当院の矯正治療の特徴
当院では歯の治療、メンテナンスを総合的に行なっています。
術前には専門的矯正診査を含む総合的診査・診断を行い、
お口の中を全体的に考えた上で治療計画を立てています。
もちろん治療期間中のむし歯の予防、早期発見や治療、審美治療(セラミック治療やホワイトニング)との
コンビネーションも得意ですのでお任せください。
また、矯正専門医院の場合、むし歯や歯周病が見つかってしまうと、他の歯科医院へ行く必要がありますが、
総合歯科医院では、矯正治療だけではなく、むし歯や歯周病など、幅広く治療が可能なため、
ほかの歯科医院へも通院しなければいけないなどといった煩わしさがありません。
当院では、無料で矯正相談を実施しております。歯並びでお悩みの方や矯正治療を始めてみようと考えている方はお気軽にご相談に来ていただけたらと思います。
歯の症状をしっかりと確認し、ご希望を伺った上で、あなたにあった矯正プランをご提案します。
清潔な院内には、完全個室の診療室を完備しています。ドイツ製の高級ユニットを使用しており、治療中も患者様にリラックスしていただけるようになっています。完全個室の為、周囲を気にすることなく落ち着いて治療をすることができますので、安心してご来院ください。
当院では、患者様に丁寧でわかりやすく説明をすることを心がけています。また、現在のお口の中の状況をしっかりと把握していただき、ご納得いただいた上で治療を受けていただいています。患者様の立場に立ち、なるべくご要望に沿った治療をご提案し、皆様のお口の健康をサポート致します。わからないことや不安なことがあれば、お気軽にご相談ください。
矯正治療を行うにあたり、的確な診断や分析が必要不可欠です。当院では、3D口腔内スキャナーによるデジタルでの歯型の採取やCTによる3Dセファロ分析を行い、一人ひとりの歯や骨の状態を正確に把握することができます。従来のレントゲンでは視覚化することはできなかった顎骨の厚みや埋没歯の状態も正確に診断することが可能になりました。
小学生ごろの永久歯が生えそろっていない場合の矯正も対応しています。お子様用のマウスピースを製作し矯正が可能です。
3D CEPHALOMETRIC
高性能CTを使用することで、3D画像診断が可能となり、mm単位で正確に数値を計測することができます。その為、従来よりも収集できる情報量が格段に多くなり、より正確な診断が可能となります。また、埋伏歯や顎骨の厚みも正確に診断することが可能となります。
当院では、3D口腔内スキャナー「iTero」を導入しております。
口腔内スキャナーがない場合は、印象材というドロドロした粘土のようなものを
口の中に流し込んで歯型を採取していました。
しかし、嘔吐反応を起こして気分を悪くしてしまう患者様も多く、負担が多くかかっていました。
3D口腔内スキャナーはお口の中をスキャンするだけで歯型が採取できますので、
患者様の負担はほとんどありませんのでご安心ください。
不快感なくスピーディーに
高精度な歯型採取が可能
デジタルデータで
術前のデータ保存と
正確な診断ができる
デジタルの
事前シミュレーションで
治療後のイメージができる
Counseling
目立たず自然に、あなたの
理想の笑顔を手に入れませんか?
自由が丘・妙蓮寺の
専門医が対応
先端3Dスキャンで
未来の歯並びを無料体験
まずは無料相談へお越しください
Counseling
目立たず自然に、あなたの
理想の笑顔を手に入れませんか?
自由が丘・妙蓮寺の
専門医が対応
先端3Dスキャンで
未来の歯並びを無料体験
まずは無料相談へお越しください
マウスピース型装置の場合
装置を装着すると、1~2ヶ月ごとに通院していただき、マウスピースを交換していくことで少しずつ歯を移動させます。
また、ワイヤー矯正とは違って歯磨きの妨げになるものがないため、通常通り歯磨きをすることができむし歯になる心配も軽減されますが、定期的な一般歯科の受診をおすすめします。
※装置を外している時間が長いと歯は動きませんのでご注意ください。
ワイヤー矯正の場合
月に1度程度来院いただき、歯列の状態を確認しながらワイヤーの調整を行っていきます。ワイヤーの隙間など普段ケアが行えない部分は専用の器具を使用してきれいに清掃していきます。
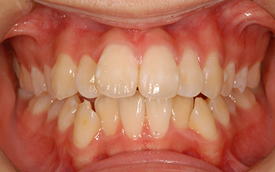
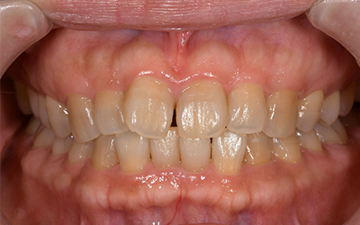
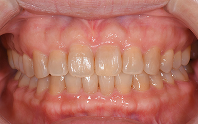
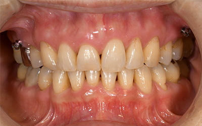
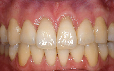
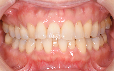
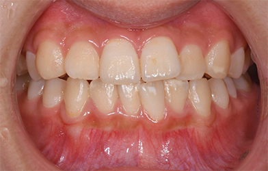
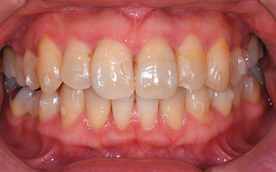
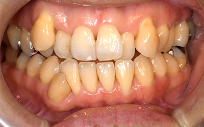
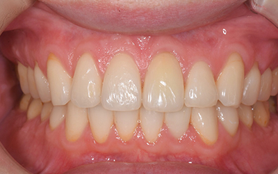
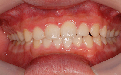
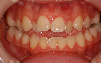
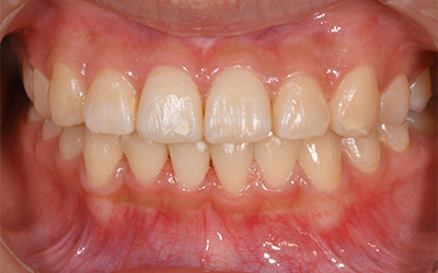
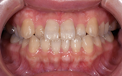
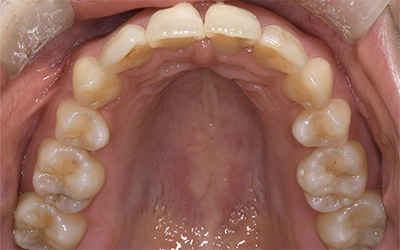
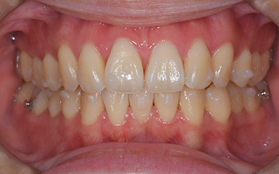
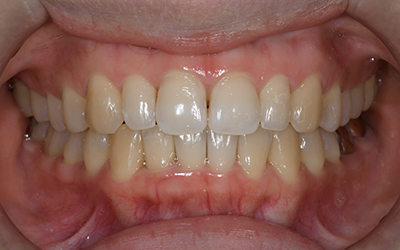
case01
Before
After
| 施術内容 |
20代 男性 前歯が逆転していたところの被せものがすぐ取れる。右上の前歯が引っ込んでいるのが気になる。マルチブラケットによる歯列矯正にて治療開始 |
|---|---|
| 治療期間 | 3年5か月、治療回数:42回(カウンセリング・検査含む) |
| リスク・副作用 |
• 歯磨きがわるい場合には、虫歯や歯肉炎が進行することがあります。 • 顎関節が弱い方の場合、関節異常が出ることがあります。矯正治療中顎の関節に音がする、痛くなる、口が開きにくくなる、といったような症状が出た場合には直にお知らせください。その場合は顎関節症の治療をすることがあります。 長期の矯正治療により歯根吸収が生じる恐れがあります。 • 歯ぐきや歯槽骨が多少やせることがあります。そのため、術前の状態より歯肉が退縮し、隙間ができることがあります。 • 体質により金属アレルギーを引き起こす事があります。 • 治療後、知覚過敏や痛みなどが出たり、吸収された骨が再生しなくなることがあります。 • 歯肉が退縮して歯が長く見えたり、歯と歯の隙間が広くなったりすることもあります。 |
| 費用 | 880,000円(税込)+調整料 |
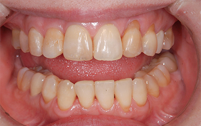
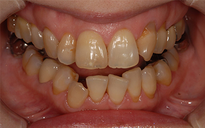
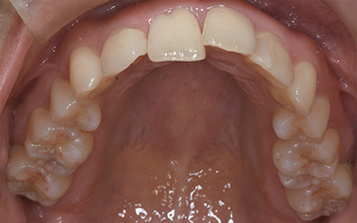
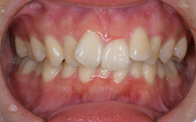
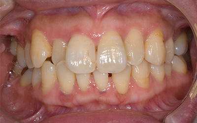
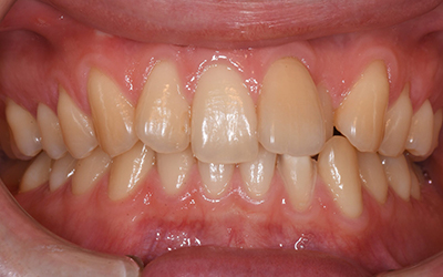
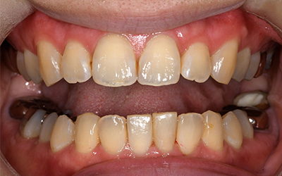
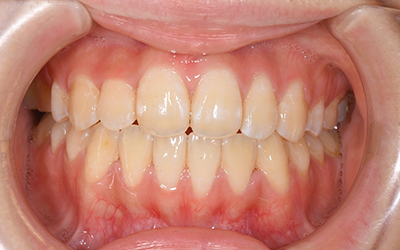
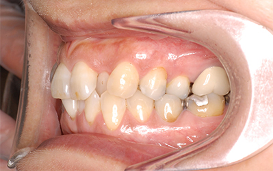
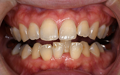
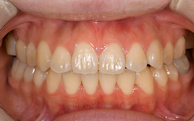
case02
Before
After
| 施術内容 |
10代 女性 オープンバイト。マルチブラケットによる歯列矯正にて治療開始 |
|---|---|
| 治療期間 | 4年0か月、治療回数:50回(カウンセリング・検査含む) |
| リスク・副作用 |
• 歯磨きがわるい場合には、虫歯や歯肉炎が進行することがあります。 • 顎関節が弱い方の場合、関節異常が出ることがあります。矯正治療中顎の関節に音がする、痛くなる、口が開きにくくなる、といったような症状が出た場合には直にお知らせください。その場合は顎関節症の治療をすることがあります。 長期の矯正治療により歯根吸収が生じる恐れがあります。 • 歯ぐきや歯槽骨が多少やせることがあります。そのため、術前の状態より歯肉が退縮し、隙間ができることがあります。 • 体質により金属アレルギーを引き起こす事があります。 • 治療後、知覚過敏や痛みなどが出たり、吸収された骨が再生しなくなることがあります。 • 歯肉が退縮して歯が長く見えたり、歯と歯の隙間が広くなったりすることもあります。 |
| 費用 | 880,000円(税込)+調整料 |
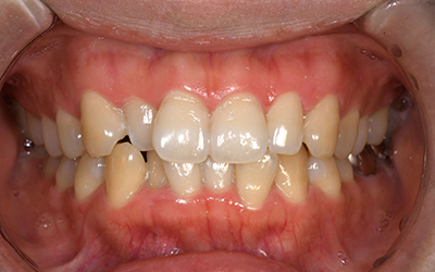
case03
Before
After
| 施術内容 |
10代 女性 前歯が噛まない、でこぼこも気になる。TPAとマルチブラケットによる歯列矯正にて治療開始 |
|---|---|
| 治療期間 | 2年9か月、治療回数:36回(カウンセリング・検査含む) |
| リスク・副作用 |
• 歯磨きがわるい場合には、虫歯や歯肉炎が進行することがあります。 • 顎関節が弱い方の場合、関節異常が出ることがあります。矯正治療中顎の関節に音がする、痛くなる、口が開きにくくなる、といったような症状が出た場合には直にお知らせください。その場合は顎関節症の治療をすることがあります。 長期の矯正治療により歯根吸収が生じる恐れがあります。 • 歯ぐきや歯槽骨が多少やせることがあります。そのため、術前の状態より歯肉が退縮し、隙間ができることがあります。 • 体質により金属アレルギーを引き起こす事があります。 • 治療後、知覚過敏や痛みなどが出たり、吸収された骨が再生しなくなることがあります。 • 歯肉が退縮して歯が長く見えたり、歯と歯の隙間が広くなったりすることもあります。 |
| 費用 | 880,000円(税込)+調整料 |
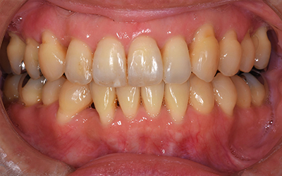
case04
Before
After
| 施術内容 |
10代 女性 下の前歯のガタガタが気になる。マルチブラケットによる歯列矯正にて治療開始 |
|---|---|
| 治療期間 | 1年6か月、治療回数:21回(カウンセリング・検査含む) |
| リスク・副作用 |
• 歯磨きがわるい場合には、虫歯や歯肉炎が進行することがあります。 • 顎関節が弱い方の場合、関節異常が出ることがあります。矯正治療中顎の関節に音がする、痛くなる、口が開きにくくなる、といったような症状が出た場合には直にお知らせください。その場合は顎関節症の治療をすることがあります。 長期の矯正治療により歯根吸収が生じる恐れがあります。 • 歯ぐきや歯槽骨が多少やせることがあります。そのため、術前の状態より歯肉が退縮し、隙間ができることがあります。 • 体質により金属アレルギーを引き起こす事があります。 • 治療後、知覚過敏や痛みなどが出たり、吸収された骨が再生しなくなることがあります。 • 歯肉が退縮して歯が長く見えたり、歯と歯の隙間が広くなったりすることもあります。 |
| 費用 | 880,000円(税込)+調整料 |
case05
Before
After
| 施術内容 |
10代 女性 上の前歯が出ていることと下の前歯がでこぼこしている。Rapidとマルチブラケットによる歯列矯正にて治療開始 |
|---|---|
| 治療期間 | 2年9か月、治療回数:29回(カウンセリング・検査含む) |
| リスク・副作用 |
• 歯磨きがわるい場合には、虫歯や歯肉炎が進行することがあります。 • 顎関節が弱い方の場合、関節異常が出ることがあります。矯正治療中顎の関節に音がする、痛くなる、口が開きにくくなる、といったような症状が出た場合には直にお知らせください。その場合は顎関節症の治療をすることがあります。 長期の矯正治療により歯根吸収が生じる恐れがあります。 • 歯ぐきや歯槽骨が多少やせることがあります。そのため、術前の状態より歯肉が退縮し、隙間ができることがあります。 • 体質により金属アレルギーを引き起こす事があります。 • 治療後、知覚過敏や痛みなどが出たり、吸収された骨が再生しなくなることがあります。 • 歯肉が退縮して歯が長く見えたり、歯と歯の隙間が広くなったりすることもあります。 |
| 費用 | 1,100,000円(税込)+調整料 |
case06
Before
After
| 施術内容 |
60代 女性 下の前歯が唇の方に出ているので内側に入れたい。マルチブラケットによる歯列矯正にて治療開始 |
|---|---|
| 治療期間 | 3年0か月、治療回数:39回(カウンセリング・検査含む) |
| リスク・副作用 |
• 歯磨きがわるい場合には、虫歯や歯肉炎が進行することがあります。 • 顎関節が弱い方の場合、関節異常が出ることがあります。矯正治療中顎の関節に音がする、痛くなる、口が開きにくくなる、といったような症状が出た場合には直にお知らせください。その場合は顎関節症の治療をすることがあります。 長期の矯正治療により歯根吸収が生じる恐れがあります。 • 歯ぐきや歯槽骨が多少やせることがあります。そのため、術前の状態より歯肉が退縮し、隙間ができることがあります。 • 体質により金属アレルギーを引き起こす事があります。 • 治療後、知覚過敏や痛みなどが出たり、吸収された骨が再生しなくなることがあります。 • 歯肉が退縮して歯が長く見えたり、歯と歯の隙間が広くなったりすることもあります。 |
| 費用 | 462,000円(税込)+調整料 |
case07
Before
After
| 施術内容 |
50代 女性 左上の前歯が内側に入っている。マルチブラケットによる歯列矯正にて治療開始 |
|---|---|
| 治療期間 | 1年5か月、治療回数:30回(カウンセリング・検査含む) |
| リスク・副作用 |
• 歯磨きがわるい場合には、虫歯や歯肉炎が進行することがあります。 • 顎関節が弱い方の場合、関節異常が出ることがあります。矯正治療中顎の関節に音がする、痛くなる、口が開きにくくなる、といったような症状が出た場合には直にお知らせください。その場合は顎関節症の治療をすることがあります。 長期の矯正治療により歯根吸収が生じる恐れがあります。 • 歯ぐきや歯槽骨が多少やせることがあります。そのため、術前の状態より歯肉が退縮し、隙間ができることがあります。 • 体質により金属アレルギーを引き起こす事があります。 • 治療後、知覚過敏や痛みなどが出たり、吸収された骨が再生しなくなることがあります。 • 歯肉が退縮して歯が長く見えたり、歯と歯の隙間が広くなったりすることもあります。 |
| 費用 | 770,000円(税込)+調整料 |
case08
Before
After
| 施術内容 |
10代 男性 下の前歯のガタガタが気になる。マルチブラケットによる歯列矯正にて治療開始 |
|---|---|
| 治療期間 | 2年6か月、治療回数:29回(カウンセリング・検査含む) |
| リスク・副作用 |
• 歯磨きがわるい場合には、虫歯や歯肉炎が進行することがあります。 • 顎関節が弱い方の場合、関節異常が出ることがあります。矯正治療中顎の関節に音がする、痛くなる、口が開きにくくなる、といったような症状が出た場合には直にお知らせください。その場合は顎関節症の治療をすることがあります。 長期の矯正治療により歯根吸収が生じる恐れがあります。 • 歯ぐきや歯槽骨が多少やせることがあります。そのため、術前の状態より歯肉が退縮し、隙間ができることがあります。 • 体質により金属アレルギーを引き起こす事があります。 • 治療後、知覚過敏や痛みなどが出たり、吸収された骨が再生しなくなることがあります。 • 歯肉が退縮して歯が長く見えたり、歯と歯の隙間が広くなったりすることもあります。 |
| 費用 | 880,000円(税込)+調整料 |
case09
Before
After
| 施術内容 |
50代 女性 下の前歯のガタガタが気になる。マルチブラケットによる歯列矯正にて治療開始 |
|---|---|
| 治療期間 | 2年9か月、治療回数:38回(カウンセリング・検査含む) |
| リスク・副作用 |
• 歯磨きがわるい場合には、虫歯や歯肉炎が進行することがあります。 • 顎関節が弱い方の場合、関節異常が出ることがあります。矯正治療中顎の関節に音がする、痛くなる、口が開きにくくなる、といったような症状が出た場合には直にお知らせください。その場合は顎関節症の治療をすることがあります。 長期の矯正治療により歯根吸収が生じる恐れがあります。 • 歯ぐきや歯槽骨が多少やせることがあります。そのため、術前の状態より歯肉が退縮し、隙間ができることがあります。 • 体質により金属アレルギーを引き起こす事があります。 • 治療後、知覚過敏や痛みなどが出たり、吸収された骨が再生しなくなることがあります。 • 歯肉が退縮して歯が長く見えたり、歯と歯の隙間が広くなったりすることもあります。 |
| 費用 | 880,000円(税込)+調整料 |
case10
Before
After
| 施術内容 |
50代 女性 下の前歯のガタガタが気になる。マルチブラケットによる歯列矯正にて治療開始 治療方法:ワイヤー矯正 |
|---|---|
| 治療期間 | 2年10か月、治療回数:38回(カウンセリング・検査含む) |
| リスク・副作用 |
• 歯磨きがわるい場合には、虫歯や歯肉炎が進行することがあります。 • 顎関節が弱い方の場合、関節異常が出ることがあります。矯正治療中顎の関節に音がする、痛くなる、口が開きにくくなる、といったような症状が出た場合には直にお知らせください。その場合は顎関節症の治療をすることがあります。 長期の矯正治療により歯根吸収が生じる恐れがあります。 • 歯ぐきや歯槽骨が多少やせることがあります。そのため、術前の状態より歯肉が退縮し、隙間ができることがあります。 • 体質により金属アレルギーを引き起こす事があります。 • 治療後、知覚過敏や痛みなどが出たり、吸収された骨が再生しなくなることがあります。 • 歯肉が退縮して歯が長く見えたり、歯と歯の隙間が広くなったりすることもあります。 |
| 費用 | 770,000円(税込)+調整料 |
case11
Before
After
| 施術内容 |
30代 女性 下の前歯が気になる。マウスピース型矯正装置による矯正治療 |
|---|---|
| 治療期間 | 1年4ヶ月 |
| リスク・副作用 |
・1日あたりの所定の製品装着時間を守らない、製品が担当医師の指示通りに使用されない、アポイントメントが守られない場合、もしくは特殊な形状の歯が存在する場合については、望まれる治療結果の実現性に影響を与える場合があります。 ・次のステージのアライナーに交換した後に、歯の圧痛を経験する場合があります。 ・歯肉、頬及び唇に、製品による擦り傷または痛みが生じる場合があります。製品は一時的に発音に影響を与える場合があり、結果として舌のもつれを生ずる場合がありますが、製品に関連した発話障害は、通常1週間から2週間以内で軽減します。 ・歯の移動を可能とするための空隙を創り出すため、歯の削合が必要となる場合があります。 ・長期間にわたって重なっていた歯は、歯間接触下部の歯肉組織が失われている場合があり、歯列矯正を行うことで、「ブラックトライアングル」が発生する可能性があります。 ・稀に、歯の寿命を縮める場合があります。歯内治療および、補綴修復処置等の追加的な歯科治療が必要となる可能性があります。または歯が失われる可能性があります。 また、過去に歯の損傷がある、また大規模な補綴修復処置がなされていた場合、さらに悪化する可能性があります。 ・稀に、顎関節に問題が生じることがあり、それによって関節痛、頭痛または耳の障害が生じる可能性があります。 |
| 費用 | 自由診療¥783,750 |
case12
Before
After
| 施術内容 |
50代 女性 かみ合わせが気になる |
|---|---|
| 治療期間 | 2年1ヶ月 |
| リスク・副作用 |
・1日あたりの所定の製品装着時間を守らない、製品が担当医師の指示通りに使用されない、アポイントメントが守られない場合、もしくは特殊な形状の歯が存在する場合については、望まれる治療結果の実現性に影響を与える場合があります。 ・次のステージのアライナーに交換した後に、歯の圧痛を経験する場合があります。 ・歯肉、頬及び唇に、製品による擦り傷または痛みが生じる場合があります。製品は一時的に発音に影響を与える場合があり、結果として舌のもつれを生ずる場合がありますが、製品に関連した発話障害は、通常1週間から2週間以内で軽減します。 ・歯の移動を可能とするための空隙を創り出すため、歯の削合が必要となる場合があります。 ・長期間にわたって重なっていた歯は、歯間接触下部の歯肉組織が失われている場合があり、歯列矯正を行うことで、「ブラックトライアングル」が発生する可能性があります。 ・稀に、歯の寿命を縮める場合があります。歯内治療および、補綴修復処置等の追加的な歯科治療が必要となる可能性があります。または歯が失われる可能性があります。 また、過去に歯の損傷がある、また大規模な補綴修復処置がなされていた場合、さらに悪化する可能性があります。 ・稀に、顎関節に問題が生じることがあり、それによって関節痛、頭痛または耳の障害が生じる可能性があります。 |
| 費用 | 自由診療¥506,000 |
case13
Before
After
| 施術内容 |
40代 女性 上の歯のガタガタ気になる。マウスピース型矯正装置による矯正治療 |
|---|---|
| 治療期間 | 1年7ヶ月 |
| リスク・副作用 |
・1日あたりの所定の製品装着時間を守らない、製品が担当医師の指示通りに使用されない、アポイントメントが守られない場合、もしくは特殊な形状の歯が存在する場合については、望まれる治療結果の実現性に影響を与える場合があります。 ・次のステージのアライナーに交換した後に、歯の圧痛を経験する場合があります。 ・歯肉、頬及び唇に、製品による擦り傷または痛みが生じる場合があります。製品は一時的に発音に影響を与える場合があり、結果として舌のもつれを生ずる場合がありますが、製品に関連した発話障害は、通常1週間から2週間以内で軽減します。 ・歯の移動を可能とするための空隙を創り出すため、歯の削合が必要となる場合があります。 ・長期間にわたって重なっていた歯は、歯間接触下部の歯肉組織が失われている場合があり、歯列矯正を行うことで、「ブラックトライアングル」が発生する可能性があります。 ・稀に、歯の寿命を縮める場合があります。歯内治療および、補綴修復処置等の追加的な歯科治療が必要となる可能性があります。または歯が失われる可能性があります。 また、過去に歯の損傷がある、また大規模な補綴修復処置がなされていた場合、さらに悪化する可能性があります。 ・稀に、顎関節に問題が生じることがあり、それによって関節痛、頭痛または耳の障害が生じる可能性があります。 |
| 費用 | 自由診療¥783,750 |
case14
Before
After
| 施術内容 |
30代 女性 右側上下2番目の歯が気になる。マウスピース型矯正装置による矯正治療 |
|---|---|
| 治療期間 | 1年10ヶ月 |
| リスク・副作用 |
・1日あたりの所定の製品装着時間を守らない、製品が担当医師の指示通りに使用されない、アポイントメントが守られない場合、もしくは特殊な形状の歯が存在する場合については、望まれる治療結果の実現性に影響を与える場合があります。 ・次のステージのアライナーに交換した後に、歯の圧痛を経験する場合があります。 ・歯肉、頬及び唇に、製品による擦り傷または痛みが生じる場合があります。製品は一時的に発音に影響を与える場合があり、結果として舌のもつれを生ずる場合がありますが、製品に関連した発話障害は、通常1週間から2週間以内で軽減します。 ・歯の移動を可能とするための空隙を創り出すため、歯の削合が必要となる場合があります。 ・長期間にわたって重なっていた歯は、歯間接触下部の歯肉組織が失われている場合があり、歯列矯正を行うことで、「ブラックトライアングル」が発生する可能性があります。 ・稀に、歯の寿命を縮める場合があります。歯内治療および、補綴修復処置等の追加的な歯科治療が必要となる可能性があります。または歯が失われる可能性があります。 また、過去に歯の損傷がある、また大規模な補綴修復処置がなされていた場合、さらに悪化する可能性があります。 ・稀に、顎関節に問題が生じることがあり、それによって関節痛、頭痛または耳の障害が生じる可能性があります。 |
| 費用 | 自由診療¥506,000 |
case15
Before
After
| 施術内容 |
50代 男性 下顎前歯の叢生が気になる。マウスピース型矯正装置による矯正治療 |
|---|---|
| 治療期間 | 11ヶ月 |
| リスク・副作用 |
・1日あたりの所定の製品装着時間を守らない、製品が担当医師の指示通りに使用されない、アポイントメントが守られない場合、もしくは特殊な形状の歯が存在する場合については、望まれる治療結果の実現性に影響を与える場合があります。 ・次のステージのアライナーに交換した後に、歯の圧痛を経験する場合があります。 ・歯肉、頬及び唇に、製品による擦り傷または痛みが生じる場合があります。製品は一時的に発音に影響を与える場合があり、結果として舌のもつれを生ずる場合がありますが、製品に関連した発話障害は、通常1週間から2週間以内で軽減します。 ・歯の移動を可能とするための空隙を創り出すため、歯の削合が必要となる場合があります。 ・長期間にわたって重なっていた歯は、歯間接触下部の歯肉組織が失われている場合があり、歯列矯正を行うことで、「ブラックトライアングル」が発生する可能性があります。 ・稀に、歯の寿命を縮める場合があります。歯内治療および、補綴修復処置等の追加的な歯科治療が必要となる可能性があります。または歯が失われる可能性があります。 また、過去に歯の損傷がある、また大規模な補綴修復処置がなされていた場合、さらに悪化する可能性があります。 ・稀に、顎関節に問題が生じることがあり、それによって関節痛、頭痛または耳の障害が生じる可能性があります。 |
| 費用 | 自由診療¥480,700 |
case16
Before
After
| 施術内容 |
50代 女性 前歯が気になる。マウスピース型矯正装置による矯正治療 |
|---|---|
| 治療期間 | 10ヶ月 |
| リスク・副作用 |
・1日あたりの所定の製品装着時間を守らない、製品が担当医師の指示通りに使用されない、アポイントメントが守られない場合、もしくは特殊な形状の歯が存在する場合については、望まれる治療結果の実現性に影響を与える場合があります。 ・次のステージのアライナーに交換した後に、歯の圧痛を経験する場合があります。 ・歯肉、頬及び唇に、製品による擦り傷または痛みが生じる場合があります。製品は一時的に発音に影響を与える場合があり、結果として舌のもつれを生ずる場合がありますが、製品に関連した発話障害は、通常1週間から2週間以内で軽減します。 ・歯の移動を可能とするための空隙を創り出すため、歯の削合が必要となる場合があります。 ・長期間にわたって重なっていた歯は、歯間接触下部の歯肉組織が失われている場合があり、歯列矯正を行うことで、「ブラックトライアングル」が発生する可能性があります。 ・稀に、歯の寿命を縮める場合があります。歯内治療および、補綴修復処置等の追加的な歯科治療が必要となる可能性があります。または歯が失われる可能性があります。 また、過去に歯の損傷がある、また大規模な補綴修復処置がなされていた場合、さらに悪化する可能性があります。 ・稀に、顎関節に問題が生じることがあり、それによって関節痛、頭痛または耳の障害が生じる可能性があります。 |
| 費用 | 自由診療¥480,700 |
case17
Before
After
| 施術内容 |
20代 女性 左顎が固いもの食べたときや、開いたとき痛い。マウスピース型矯正装置による矯正治療 |
|---|---|
| 治療期間 | 2年5ヶ月 |
| リスク・副作用 |
・1日あたりの所定の製品装着時間を守らない、製品が担当医師の指示通りに使用されない、アポイントメントが守られない場合、もしくは特殊な形状の歯が存在する場合については、望まれる治療結果の実現性に影響を与える場合があります。 ・次のステージのアライナーに交換した後に、歯の圧痛を経験する場合があります。 ・歯肉、頬及び唇に、製品による擦り傷または痛みが生じる場合があります。製品は一時的に発音に影響を与える場合があり、結果として舌のもつれを生ずる場合がありますが、製品に関連した発話障害は、通常1週間から2週間以内で軽減します。 ・歯の移動を可能とするための空隙を創り出すため、歯の削合が必要となる場合があります。 ・長期間にわたって重なっていた歯は、歯間接触下部の歯肉組織が失われている場合があり、歯列矯正を行うことで、「ブラックトライアングル」が発生する可能性があります。 ・稀に、歯の寿命を縮める場合があります。歯内治療および、補綴修復処置等の追加的な歯科治療が必要となる可能性があります。または歯が失われる可能性があります。 また、過去に歯の損傷がある、また大規模な補綴修復処置がなされていた場合、さらに悪化する可能性があります。 ・稀に、顎関節に問題が生じることがあり、それによって関節痛、頭痛または耳の障害が生じる可能性があります。 |
| 費用 | 自由診療¥825,000 |
case18
Before
After
| 施術内容 |
20代 女性 前歯の歯並びが気になる。マウスピース型矯正装置による矯正治療 |
|---|---|
| 治療期間 | 2年7ヶ月 |
| リスク・副作用 |
・1日あたりの所定の製品装着時間を守らない、製品が担当医師の指示通りに使用されない、アポイントメントが守られない場合、もしくは特殊な形状の歯が存在する場合については、望まれる治療結果の実現性に影響を与える場合があります。 ・次のステージのアライナーに交換した後に、歯の圧痛を経験する場合があります。 ・歯肉、頬及び唇に、製品による擦り傷または痛みが生じる場合があります。製品は一時的に発音に影響を与える場合があり、結果として舌のもつれを生ずる場合がありますが、製品に関連した発話障害は、通常1週間から2週間以内で軽減します。 ・歯の移動を可能とするための空隙を創り出すため、歯の削合が必要となる場合があります。 ・長期間にわたって重なっていた歯は、歯間接触下部の歯肉組織が失われている場合があり、歯列矯正を行うことで、「ブラックトライアングル」が発生する可能性があります。 ・稀に、歯の寿命を縮める場合があります。歯内治療および、補綴修復処置等の追加的な歯科治療が必要となる可能性があります。または歯が失われる可能性があります。 また、過去に歯の損傷がある、また大規模な補綴修復処置がなされていた場合、さらに悪化する可能性があります。 ・稀に、顎関節に問題が生じることがあり、それによって関節痛、頭痛または耳の障害が生じる可能性があります。 |
| 費用 | 自由診療¥825,000 (税込) + 調整料 |
case19
Before
After
| 施術内容 |
20代 女性 上の前歯の見た目が気になる。マウスピース型矯正装置による矯正治療 |
|---|---|
| 治療期間 | 2年7ヶ月 |
| リスク・副作用 |
・1日あたりの所定の製品装着時間を守らない、製品が担当医師の指示通りに使用されない、アポイントメントが守られない場合、もしくは特殊な形状の歯が存在する場合については、望まれる治療結果の実現性に影響を与える場合があります。 ・次のステージのアライナーに交換した後に、歯の圧痛を経験する場合があります。 ・歯肉、頬及び唇に、製品による擦り傷または痛みが生じる場合があります。製品は一時的に発音に影響を与える場合があり、結果として舌のもつれを生ずる場合がありますが、製品に関連した発話障害は、通常1週間から2週間以内で軽減します。 ・歯の移動を可能とするための空隙を創り出すため、歯の削合が必要となる場合があります。 ・長期間にわたって重なっていた歯は、歯間接触下部の歯肉組織が失われている場合があり、歯列矯正を行うことで、「ブラックトライアングル」が発生する可能性があります。 ・稀に、歯の寿命を縮める場合があります。歯内治療および、補綴修復処置等の追加的な歯科治療が必要となる可能性があります。または歯が失われる可能性があります。 また、過去に歯の損傷がある、また大規模な補綴修復処置がなされていた場合、さらに悪化する可能性があります。 ・稀に、顎関節に問題が生じることがあり、それによって関節痛、頭痛または耳の障害が生じる可能性があります。 |
| 費用 | 自由診療¥748,000 (税込) + 調整料 |
case20
Before
After
| 施術内容 |
50代 女性 上の歯の奥歯が重なっている。マウスピース型矯正装置による矯正治療 |
|---|---|
| 治療期間 | 1年10ヶ月 |
| リスク・副作用 |
・1日あたりの所定の製品装着時間を守らない、製品が担当医師の指示通りに使用されない、アポイントメントが守られない場合、もしくは特殊な形状の歯が存在する場合については、望まれる治療結果の実現性に影響を与える場合があります。 ・次のステージのアライナーに交換した後に、歯の圧痛を経験する場合があります。 ・歯肉、頬及び唇に、製品による擦り傷または痛みが生じる場合があります。製品は一時的に発音に影響を与える場合があり、結果として舌のもつれを生ずる場合がありますが、製品に関連した発話障害は、通常1週間から2週間以内で軽減します。 ・歯の移動を可能とするための空隙を創り出すため、歯の削合が必要となる場合があります。 ・長期間にわたって重なっていた歯は、歯間接触下部の歯肉組織が失われている場合があり、歯列矯正を行うことで、「ブラックトライアングル」が発生する可能性があります。 ・稀に、歯の寿命を縮める場合があります。歯内治療および、補綴修復処置等の追加的な歯科治療が必要となる可能性があります。または歯が失われる可能性があります。 また、過去に歯の損傷がある、また大規模な補綴修復処置がなされていた場合、さらに悪化する可能性があります。 ・稀に、顎関節に問題が生じることがあり、それによって関節痛、頭痛または耳の障害が生じる可能性があります。 |
| 費用 | 自由診療¥825,000 (税込) + 調整料 |
綺麗な歯並びは見た目の美しさにとても大きく影響します。
そして、健康なお口の状態を保つためにとても大切です。
また、自分自身に自信や積極性、エネルギーを与えてくれ、周りの方へ与える印象もずっと魅力的なものになります。
私たちは矯正治療、歯科治療、そして健康の価値の高さを信じ、
本気で取り組んでいます。
皆様のお口の中の健康と口元の美しさの実現のため、高度先端機器を揃え、デジタル歯科環境を整え、常に学び続けながら
スタッフ一同準備しております。
皆様との出会いを楽しみにしております。
どうぞよろしくお願い申し上げます。
当院の理事長 榊原毅先生、矯正専門医が翻訳メンバーとして参加されました!

〒222-0023
神奈川県横浜市港北区仲手原2-43-33
| 診療時間 | 月 | 火 | 水 | 木 | 金 | 土 | 日 |
|---|---|---|---|---|---|---|---|
| 9:30 - 13:00 | ● | ● | ● | ● | ● | ● | / |
| 14:30 - 18:00 | ● | ● | ● | ● | ● | ● | / |
休診日:日曜日・祝日
(※日曜日は毎月1度、矯正治療を行います)
日曜日は要予約:9:30-13:00 / 14:00-16:30
東急東横線「妙蓮寺駅」から徒歩1分 横浜駅から妙蓮寺駅まで電車で6分 渋谷駅から妙蓮寺駅まで電車で25分

〒158-0083
東京都世田谷区奥沢5丁目25-8
アポラン自由が丘2F(1F セブンイレブン)
| 診療時間 | 月 | 火 | 水 | 木 | 金 | 土 | 日 |
|---|---|---|---|---|---|---|---|
| 9:30 - 13:00 | ● | ● | / | ● | ● | ● | / |
| 14:30 - 18:00 | ● | ● | / | ● | ● | ● | / |
休診日:水曜日・日曜日・祝日
(※祝日週は水曜日に診療を行うことがあります)
「自由が丘駅」南口徒歩2分セブンイレブン2F
【治療費改定のお知らせ】
いつも当院へご来院頂きありがとうございます。この度、昨今の材料費ならびに関連費用の高騰に伴い、治療費を2025年3月1日より改定させて頂きました。今後とも、皆様に安心して治療を受けていただけるよう、スタッフ一同努めて参ります。何卒ご理解とご協力の程お願い申し上げます。
| 矯正資料採得・診断・カウンセリング | 48,400円 |
|---|---|
| マウスピース矯正 | 242,000円~950,000円 ※部分矯正~本格矯正まで。プランによって異なります。 |
| 調整料 | 5,500円~6,050円/月 |
| ワイヤー矯正 | 786,500円 |
医療費控除について
矯正の治療費は医療費控除の対象となることがあります。
医療費控除とは、自分自身、または生計を一にする配偶者やその他の親族のために1年間で10万円以上の医療費を支払った場合に、一定の金額を所得金額から控除できる制度です。
(その年の1/1~12/31までに支払った医療費であること)詳しくはお気軽にお尋ねください。
矯正治療はどのくらいの期間が必要ですか?
一般的には1年半から2年程度ですが、治療の目標や状態など症例によって異なります。治療期間は個々の歯並びや咬合の状態、また年齢などによって左右されます。
矯正治療は痛みを伴いますか?
初めて装置を装着した時や調整後には、一時的な違和感や痛みを感じることがありますが、通常は数日で慣れます。ワイヤー矯正では粘膜に当たってすれて痛くなることがあります。こちらも通常短期間で慣れてきます。
矯正治療中に食事制限はありますか?
硬い食べ物や粘着性のある食べ物は避けることを推奨します。これらは矯正装置を破損させたり、歯を痛めたり、歯並びに影響を与える可能性があります。
矯正治療はどの年齢から始められますか?
矯正治療はどの年齢でも始めることが可能ですが、小児矯正の場合は乳歯が生え変わり始める時期が一般的ですが、上下の顎の関係が良くない場合などは乳歯の段階で始めることもあります。ご心配なことがありましたらお気軽にご相談ください。
インビザラインと従来のワイヤー矯正の違いは何ですか?
インビザラインは透明なマウスピースを使用し、目立ちにくい点が特徴です。ワイヤー矯正はより広範な症例に対応可能ですが、目立つことがあり、装置の形状の関係でブラッシングなどのメンテナンスはやりにくくなります。
矯正治療後に歯が元に戻ることはありますか?
矯正治療を行わない場合でも一般的に歯は時間とともに少しづつ位置を変えていきます。矯正治療後、装置を外すと歯は元の位置に戻ろうとする性質があり、矯正治療後にはリテーナー(保定装置)を使用し、歯が安定するまでの期間、歯の位置を維持します。適切なアフターケアを行えば、歯が元に戻るリスクは低くなります。
矯正治療中の歯磨きはどのようにすれば良いですか?
矯正装置があるため、通常より丁寧なブラッシングが必要です。特にブラケットの周りやワイヤーの下は、プラークがたまりやすいので注意が必要です。
矯正治療に保険は適用されますか?
一般的には矯正治療は自費治療となりますが、一部の症例では医療保険が適用される場合があります。詳細は当院でご相談ください。
小児矯正を始める最適な時期はいつですか?
小児矯正は、乳歯から永久歯への生え変わりが始まる6歳頃からが一般的です。しかし、個々の成長の状況によって最適な時期は異なるため、お子様の噛み合わせなどが気になる場合は早めの相談をお勧めします。特に上下の顎の大きさや位置関係がおかしいと思った場合は早めにご相談ください。
小児矯正のメリットは何ですか?
小児矯正は、成長期の顎の発達を利用して歯並びや咬合を改善するため、将来的な複雑なおとなの矯正治療や外科矯正の必要性を減らすことができます。また、歯並びの見た目をコンプレックスに感じるお子様においては心の発育などにも影響します。良い歯並びはお子様の自信・自尊心などに心理的な部分にも良い影響を与えます。
小児矯正は痛みを伴いますか?
小児矯正は、大人の矯正治療に比べて痛みが少ないとされています。しかし、装置の装着や調整後には、一時的な違和感や軽い痛みを感じることがあります。
小児矯正中の食事に注意すべき点はありますか?
硬い食べ物や粘着性のある食べ物は避けることを推奨します。これらは矯正装置を破損させる可能性があります。また、バランスの良い食事が全体的な健康と歯の発育に重要です。
小児矯正中の歯磨きはどのようにすれば良いですか?
矯正装置を装着している場合は、特に丁寧なブラッシングが必要です。ブラケットの周りやワイヤーの下を念入りに磨き、虫歯のリスクを減らすことが大切です。フッ素入りの歯磨剤を使用し、保護者による歯磨き、または仕上げ磨きが大切です。
小児矯正の治療期間はどのくらいですか?
小児矯正の治療期間は、症例によって異なりますが、一般的には1年から3年程度です。永久歯の矯正となる第2期矯正に移行する場合はさらに長くなります。
定期的な診察と調整が必要となります。
マウスピース矯正(インビザラインを含む)とはどのような治療法ですか?
マウスピース矯正は、透明で取り外し可能なマウスピースを用いて歯を徐々に動かしていく治療法です。目立ちにくく、日常生活においても違和感が少ないのが特徴です。取り外しが可能で歯ブラシ時には装置を外せるためより衛生的で、矯正治療期間中の虫歯の発生リスクを減らすことができます。
マウスピース矯正の治療期間はどのくらいですか?
治療期間は個々の症例、治療目標などによりますが、一般的には1年から2年程度です。複雑な症例ではもう少しかかる場合もあります。1週間ごとなど定期的なマウスピースの交換を行いながら治療を進めます。
マウスピース矯正はどのような症例に適していますか?
どちらかというと軽度から中等度の歯並びやかみ合わせの問題に適しています。重度の症例やあごの骨格が関係する問題には、他の矯正方法が適している場合があります。当院では通常ではマウスピース矯正が難しいとされるようなケースにおいて、最初にワイヤーで歯を移動し、その後マウスピース矯正を中心に治療を進めていくようなコンビネーションの矯正治療も行っておりますのでぜひお問い合わせください。
マウスピース矯正中の食事制限はありますか?
マウスピースは食事の際に取り外すことができるため、特に食事制限はありません。ただし、食後はなるべく早めに歯を磨いてからマウスピースを装着することが推奨されます。マウスピースの装着時間は1日20時間が推奨されています。
マウスピース矯正のメリットは何ですか?
マウスピース矯正の主なメリットは以下の通りです。
目立たない: 透明なマウスピースは目立ちにくく、見た目を気にする大人の患者さんに適しています。
取り外し可能: 食事や歯磨きの際に取り外せるため、口腔衛生を維持しやすく、食事の制限が少ないです。
快適な装着感: 金属製の矯正器具に比べて、口内の違和感や痛みが少ない傾向にあります。
予測可能な治療結果: コンピューターによる事前の治療計画に基づき、治療結果を予測しやすいです。
マウスピース矯正のデメリットは何ですか?
マウスピース矯正の主なデメリットは以下の通りです。
自己管理の必要性: 効果的な治療のためには、1日に20時間以上の装着が必要で、自己管理が求められます。装着している時間しか歯は移動せず、外している時間は予定通り動かないことはもちろん、後戻りする時間になります。指定された装着時間が守れないと治療はうまくいかなくなります。
治療期間の延長の可能性: 患者さんの協力度や歯の動きによっては、予定されていた治療期間より長くなることがあります。
一時的な発音の変化: 装置を装着している間、特に初期段階では、発音に影響が出ることがあります。
重度の咬合異常には不向き: 極端に歯が乱れている場合や、骨格の問題を含む複雑なかみ合わせには適していないことがあります。最初にワイヤー矯正を行い、状況を少し改善したのちにマウスピース矯正に移行することでこの問題をクリアすることができる場合があります。
マウスピース矯正のメンテナンスはどのように行うべきですか?
マウスピースは毎日清潔に保つ必要があります。使用後はブラシを用いて水で洗い、専用のクリーナーで定期的に清掃することが推奨されます。また、定期的な歯科医院でのチェックも重要です。
Counseling
目立たず自然に、あなたの
理想の笑顔を手に入れませんか?
自由が丘・妙蓮寺の
専門医が対応
先端3Dスキャンで
未来の歯並びを無料体験
まずは無料相談へお越しください