噛める喜び
選べるインプラントで
1歯の治療や骨造成が必要な難症例、
全顎的なオールオンフォー
それぞれにあった治療をご提案します。
日本口腔
インプラント学会
専門医
難症例にも
対応
オールオンフォー
制限のない楽しい食事を
1日で叶える
噛める喜び
選べるインプラントで
1歯の治療や骨造成が必要な難症例、
全顎的なオールオンフォー
それぞれにあった治療をご提案します。
日本口腔
インプラント学会
専門医
難症例にも
対応
オールオンフォー
制限のない楽しい食事を
1日で叶える
このようなお悩みは
ありませんか?
TROUBLE
01
インプラントは
手術になるので
怖い
02
入れ歯の
見た目が
気になる
03
歯周病で
歯がボロボロに
なっている
04
歯を失ってしまった為
食事がうまく
できない
05
入れ歯だと
硬いものが
食べられない
06
他院で
断られて
しまった
07
天然の歯を
削らずに
治療したい
このようなお悩みを
お持ちの方には
インプラント治療が
おすすめです


インプラント治療とは
about IMPLANT
インプラント治療とは、歯を失ってしまった部分の顎の骨に、インプラント体と呼ばれる人工的な歯根を埋めこみ、その上に人工歯を被せるという治療方法です。事故や歯周病などで歯を失ってしまったとしても、インプラント治療を行うことで、自分の歯と同じような感覚で食べたり、話したり、笑うことができます。
入れ歯やブリッジは違和感があるため嫌だなとお考えの方、今使用している入れ歯が合わない方など、一度お気軽にご相談ください。
FEATURE
インプラント治療の特徴
FEATURE 01
快適な噛み心地
顎の骨としっかりと結合するので
食事も制限なくできます。
FEATURE 02
健康な歯を傷つけない
周りの健康な歯を削ったりする
必要がありません。
FEATURE 03
自然な見た目
天然の歯と変わらない
自然な見た目です。
FEATURE 04
顎の骨が痩せにくい
顎の骨に直接人工歯根を埋め込むため、
天然歯で噛む時と同じように
力が加わります。
FEATURE 05
取り外す煩わしさがない
入れ歯のように取り外して
お手入れをする必要がありません。
医療法人港央会では
ストローマン社の
インプラントを使用しています
当院では、世界70カ国以上、500万人以上が利用している
世界トップクラスのシェアを誇る
ストローマン社のインプラントを使用しています。
当院ではインプラント治療の相談を
行っております。
まずはお気軽にご相談ください。
医療法人港央会の
インプラント治療が
選ばれる理由
REASON 01
専門医による
専門性の高い治療
日本口腔インプラント学会
専門医
当院のインプラント治療は、大学の口腔外科・インプラント科出身で、インプラントの臨床経験が25年以上の経験豊富な日本口腔インプラント学会認定のインプラント専門医が治療を担当します。
インプラント専門
歯科技工士
当院では、日本口腔インプラント学会認定インプラント専門技工士に製作を依頼しています。上部構造のクオリティの高さは、インプラントを長期的に使用するために欠かすことはできません。
REASON 02
整った環境で不安を
軽減
インプラント治療は外科手術となるため、滅菌をしっかり行った手術室で行います。
また、生体管理モニター、AED、酸素ボンベを常備し、
非常勤麻酔医または認定麻酔医チームとの連携をとりながら行います。
手術室
生体管理モニター
AED
酸素ボンベ
麻酔科
との連携
痛みや不安感を和らげるために
静脈内鎮静法
静脈内鎮静法とは、鎮静剤を静脈に投与することでリラックスして眠りにつく方法です。全身麻酔とは異なり、呼びかけに反応することができる程度の意識は残ります。
施術は麻酔専門医が行い、手術中は全身状況の監視を行いながら投与を行いますのでご安心ください。治療が不安な方はぜひ一度ご相談ください。
REASON 03
徹底した診断で安心の
インプラント治療
インプラント治療において、口腔内の状態が把握できていないと神経や血管を傷つけてしまう可能性があります。そのため、術前にはCT撮影や模型での噛み合わせ分析などを行っています。
様々な資料や歯科用デジタルレントゲンに加えて、3DCT画像による手術部位の分析を徹底することで、より安心・安全にインプラント治療を行うことができます。
3D分析ソフト
による診断
CT
サージカルガイドを使用しています


より安全にインプラント治療を受けていただけるように、「サージカルガイド」を導入しています。サージカルガイドを使用することで、インプラント埋入時にドリルがぶれることなく着地点や角度を正確に導くことができます。事前にCT撮影による口腔内の情報と3D口腔内スキャナー(iTero)で採取した情報をもとにコンピューター上にてシミュレーションを行い、3Dプリンターにてサージカルガイドを作製します。
REASON 04
定期メンテナンスで
治療後も
しっかりサポート
どんなに的確なインプラント手術を行っても、毎日のケアを怠ればインプラントを埋め込んだ周囲が炎症を起こしてしまいます。インプラントの大敵でもある歯周病予防や、残っている歯を健康に保っていくためにも、治療後はメンテナンスに通院をしていただいています。インプラントをより長く使用していただくためにも、2ヶ月~半年に1度は必ず来院ください。



REASON 05
一人ひとりの要望に
合わせた
インプラント治療を
抜歯と同時にインプラントを埋入する
抜歯即時インプラントにも対応
抜歯即時インプラントとは、抜歯と同時にインプラントを埋入する方法です。通常のインプラント手術では、抜歯後に穴がふさがるのを待ってから治療を開始しますが、抜歯即時インプラントでは抜歯した当日にインプラント埋入までを行います。外科処置の回数を減らし、治療期間の短縮をはかります。抜歯即時インプラントに対応ができない場合もございますのでぜひ一度お問い合わせください。


オールオンフォーも対応可能です


オールオンフォーとは、残存歯がない場合や、回復が見込めない場合、全顎的な人工歯を、4本のインプラントで固定する治療法です。
埋入本数が少ないため身体への負担が少なく、全体的にインプラント治療を行うより低コストで治療が可能です。
顎骨の十分な厚みを確認できるところにインプラントを埋入するため高い安定性が期待できるところもメリットです。
当院では、一人ひとりに合ったインプラント治療をご提案いたします。
-他院で治療を断られてしまった方へ-
骨造成処置・粘膜移植にも
対応しています
骨の量が原因で治療を断られてしまった方でも、高度な技術が必要となりますが
骨造成や骨移植を行うことでインプラント治療を受けられる可能性があります。

ソケットリフト
上顎の奥歯の骨の量が足りなくて治療ができない場合に行う方法です。上顎の下から穴を開けて、隙間をつくり、再生療法や骨移植などで骨の量を補う方法です。

サイナスリフト
上顎と上顎洞の間隔が狭く、骨の量が著しく不足している場合に用いる方法です。ソケットリフトで困難な場合に行い、上顎の側面から穴を開けて、隙間をつくり、再生療法や骨移植などで骨の量を補う方法です。

GBR (骨組織誘導再生法)
抜歯などによって吸収され消失してしまった歯槽骨を再生させたり、骨の高さや幅がない場合に骨造成で骨量を増やす方法です。

粘膜移植手術
歯肉が痩せてしまい、薄くなっている場合に用いる方法です。患者様ご自身の結合組織のみを採取して移植をすることで、歯肉も安定しアレルギー反応もなくインプラント手術を行うことができます。
当院では、
日本口腔インプラント学会専門医が
在籍しております。
難症例の方もお気軽にご相談ください。
当院ではインプラント治療の相談を
行っております。
まずはお気軽にご相談ください。
他の治療方法との比較
COMPARISON
これまで歯を失った場合の治療には、
両サイドの歯を削って治療を行うブリッジもしくは取り外しが可能な入れ歯が一般的でした。
しかし、健康な歯を削らなくてはいけなかったり、
見た目や噛み心地が悪いといった問題も多くありました。
そういった従来の治療の問題点を払拭した治療がインプラント治療です。
| ブリッジ・入れ歯との違い | |||
|---|---|---|---|
インプラント ![]() |
ブリッジ ![]() |
入れ歯 ![]() |
|
| 審美性 | 天然歯に近く、美しい仕上がりになる | 保険適用外の素材を使用することで、天然歯に近い仕上がりになる | 保険適用の入れ歯は留め具が目立つため、審美性には劣る |
| 違和感 | 違和感が少ない | 違和感が少ない | 違和感や異物感がある |
| 他の歯への影響 | 影響しない | 支えとなる周囲の歯に負担を与えてしまう | 部分入れ歯の場合はバネをかける歯に負担を与えてしまう |
| 外科治療 | 手術が必要 | 不要 | 不要 |
| 費用 (自費の場合は医療費控除が使えます) |
保険適用外であり、自費診療となる | セラミックなど使用する場合は自費診療となる | 金属床など精密な義歯、バネのない入れ歯は自費診療となる |
| 治療期間 | 治療期間が長い | 短期間で治療が可能 | 短期間で治療が可能 |
FLOW
インプラント治療の流れ

当院ではインプラント治療の相談を行っております。
まずはお気軽にご相談ください。







インプラント周囲炎に
ご注意ください
インプラント自体は人工物のため、むし歯や歯周病の心配はありません。しかし、周囲の歯肉や骨は天然のため、毎日のケアを怠ってしまうとインプラント周囲の歯肉や顎の骨が溶けてしまい、最終的にはインプラントを支えることが困難になってしまいます。
せっかく入れたインプラントを歯周病によって失うことがないように、メンテナンスにお越しください。
当院ではインプラント治療の相談を
行っております。
まずはお気軽にご相談ください。
CASE
インプラント症例
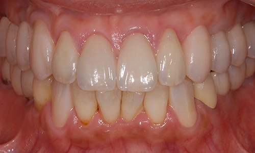
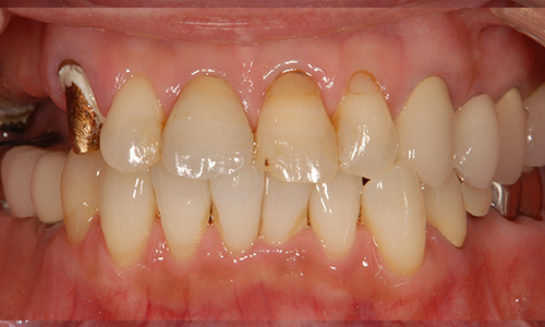
CASE 01
BEFORE
AFTER
詳細を見る
| 施術内容 | 大臼歯の欠損をインプラント治療で修復しました。入れ歯を入れずに自然な感じに治療することができ、しっかりと噛むことができるようになりました。 |
|---|---|
| 治療期間 | 約3.5ヶ月 |
| 治療費 | 約110万円 |
| リスク・副作用 | ・インプラント治療は外科処置を伴います。全身疾患のある方は術前にお知らせください。 ・口腔清掃状態はインプラント治療の成功に大きく影響します。長期の成功の為にはメンテナンスが重要となります。 |
CASE 02
BEFORE
AFTER
詳細を見る
| 施術内容 | 前歯の欠損をインプラント治療で修復しました。ご自分の歯のように修復することができ、患者様にもご満足いただいております。 |
|---|---|
| 治療期間 | 約6ヶ月 |
| 治療費 | 約120万円 |
| リスク・副作用 | ・インプラント治療は外科処置を伴います。全身疾患のある方は術前にお知らせください。 ・口腔清掃状態はインプラント治療の成功に大きく影響します。長期の成功の為にはメンテナンスが重要となります。 |
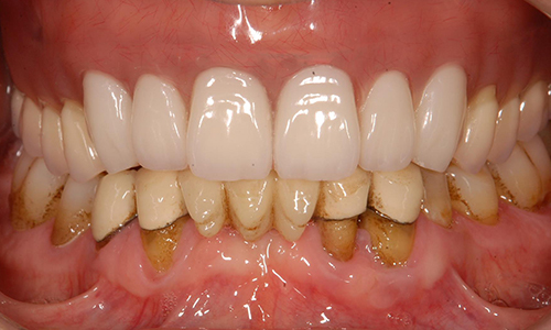
CASE 03
BEFORE
AFTER
詳細を見る
| 施術内容 | 上下に入れ歯を使用していた患者様です。 インプラント治療を行い、しっかりと噛めるようになり、外出時のお食事も楽しめるようになりました。上部構造はインプラント学会認定専門技工士が担当しています。今回はジルコニアという強度があり汚れがつきにくく、変色のないセラミックで作製していますが、当院では価格の安い樹脂の上部構造も取り扱っております。 |
|---|---|
| 治療期間 | 約8ヶ月 |
| 治療費 | 約550万円 |
| リスク・副作用 | ・インプラント治療は外科処置を伴います。全身疾患のある方は術前にお知らせください。 ・口腔清掃状態はインプラント治療の成功に大きく影響します。長期の成功の為にはメンテナンスが重要となります。 |
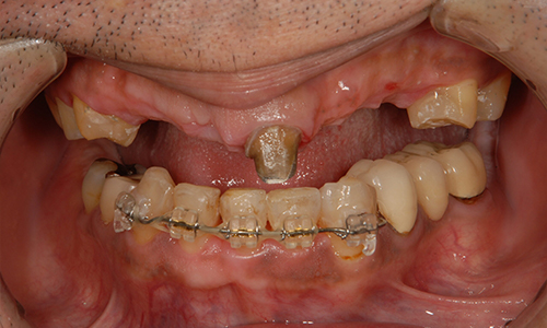
CASE 04
BEFORE
AFTER
詳細を見る
| 施術内容 | 義歯が割れてしまったためインプラント治療希望。矯正治療と合わせて治療開始。 |
|---|---|
| 治療期間 | 10か月、治療回数:32回(カウンセリング・検査・歯周病治療・カリエス治療含む) |
| 治療費 | 約2,867,500円(税込)(インプラント治療に関する費用と矯正装置代の金額) |
| リスク・副作用 | • インプラント手術後、まれに唇、舌、頬、歯肉そして歯牙の感覚マヒが一時的に発生する場合もあります。また、近接歯牙、顎、上顎洞、鼻腔に対する炎症、疼痛、過敏症、組織治癒の遅延及び顔面部の内出血(紫斑や黄斑など)が避けられない方もまれにおられます。術後、3~4日目になると腫れ止めが切れるため傷口が腫れてきますが、殆どの場合、1週間程度で傷口は治ります。 • 術中に、歯牙や骨の状態により手術内容が予定より変更することも起こりえます。 • 術中に、予定していた骨の量が足りない場合には、追加の骨造成が必要になることがあります。(治療代5万円) • 喫煙、飲酒は正常な治療の妨げとなります。術後1週間は控えてください。 • 処方された薬剤の服用により吐き気、めまい、眠気、咳、お腹が緩くなるなど一時的な副作用が現れることがあります。 • インプラントの耐久性は、天然歯同様、口腔衛生状態(喫煙の有無、喫煙者の協力度、咬合力、咬み合わせ、骨量、歯肉量、歯磨き、メンテナンス)により変化します。 • 治療後、知覚過敏や痛みなどが出たり、吸収された骨が再生しなくなることがあります。 • また、歯肉が退縮して歯が長く見えたり、歯と歯の隙間が広くなったりすることもあります。 |
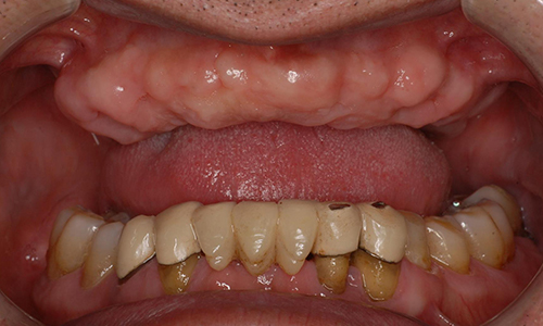
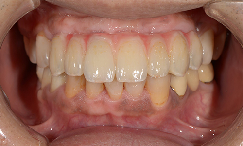
CASE 05
BEFORE
AFTER
詳細を見る
| 施術内容 | 歯が抜けてしまった部分の治療の相談をご希望され来院。インプラント治療希望。 |
|---|---|
| 治療期間 | 3年10か月、治療回数:44回(カウンセリング・検査・歯周病治療・カリエス治療含む) |
| 治療費 | 約1,400,000円(税込)(インプラント治療に関する費用のみ) |
| リスク・副作用 | • インプラント手術後、まれに唇、舌、頬、歯肉そして歯牙の感覚マヒが一時的に発生する場合もあります。また、近接歯牙、顎、上顎洞、鼻腔に対する炎症、疼痛、過敏症、組織治癒の遅延及び顔面部の内出血(紫斑や黄斑など)が避けられない方もまれにおられます。術後、3~4日目になると腫れ止めが切れるため傷口が腫れてきますが、殆どの場合、1週間程度で傷口は治ります。 • 術中に、歯牙や骨の状態により手術内容が予定より変更することも起こりえます。 • 術中に、予定していた骨の量が足りない場合には、追加の骨造成が必要になることがあります。(治療代5万円) • 喫煙、飲酒は正常な治療の妨げとなります。術後1週間は控えてください。 • 処方された薬剤の服用により吐き気、めまい、眠気、咳、お腹が緩くなるなど一時的な副作用が現れることがあります。 • インプラントの耐久性は、天然歯同様、口腔衛生状態(喫煙の有無、喫煙者の協力度、咬合力、咬み合わせ、骨量、歯肉量、歯磨き、メンテナンス)により変化します。 • 治療後、知覚過敏や痛みなどが出たり、吸収された骨が再生しなくなることがあります。 • また、歯肉が退縮して歯が長く見えたり、歯と歯の隙間が広くなったりすることもあります。 |
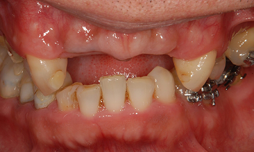
CASE 06
BEFORE
AFTER
詳細を見る
| 施術内容 | 上の前歯をインプラントにして全体的に治したい。インプラント治療と矯正治療を合わせて治療開始。 |
|---|---|
| 治療期間 | 4年6か月、治療回数:60回(カウンセリング・検査・歯周病治療・カリエス治療含む) |
| 治療費 | 約2,130,000円(税込)(インプラント治療に関する費用と矯正装置代の金額) |
| リスク・副作用 | • インプラント手術後、まれに唇、舌、頬、歯肉そして歯牙の感覚マヒが一時的に発生する場合もあります。また、近接歯牙、顎、上顎洞、鼻腔に対する炎症、疼痛、過敏症、組織治癒の遅延及び顔面部の内出血(紫斑や黄斑など)が避けられない方もまれにおられます。術後、3~4日目になると腫れ止めが切れるため傷口が腫れてきますが、殆どの場合、1週間程度で傷口は治ります。 • 術中に、歯牙や骨の状態により手術内容が予定より変更することも起こりえます。 • 術中に、予定していた骨の量が足りない場合には、追加の骨造成が必要になることがあります。(治療代5万円) • 喫煙、飲酒は正常な治療の妨げとなります。術後1週間は控えてください。 • 処方された薬剤の服用により吐き気、めまい、眠気、咳、お腹が緩くなるなど一時的な副作用が現れることがあります。 • インプラントの耐久性は、天然歯同様、口腔衛生状態(喫煙の有無、喫煙者の協力度、咬合力、咬み合わせ、骨量、歯肉量、歯磨き、メンテナンス)により変化します。 • 治療後、知覚過敏や痛みなどが出たり、吸収された骨が再生しなくなることがあります。 • また、歯肉が退縮して歯が長く見えたり、歯と歯の隙間が広くなったりすることもあります。 |
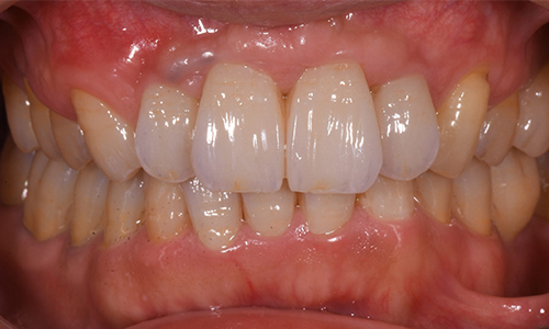
CASE 07
BEFORE
AFTER
詳細を見る
| 施術内容 | 上の義歯をインプラントへ替えたい。インプラント(All-on-4)治療へ。 |
|---|---|
| 治療期間 | 1年0か月、治療回数:34回 (カウンセリング・検査・歯周病治療・カリエス治療含む) |
| 治療費 | 約2,240,000円(税込)(インプラント治療に関する費用のみ) |
| リスク・副作用 | • インプラント手術後、まれに唇、舌、頬、歯肉そして歯牙の感覚マヒが一時的に発生する場合もあります。また、近接歯牙、顎、上顎洞、鼻腔に対する炎症、疼痛、過敏症、組織治癒の遅延及び顔面部の内出血(紫斑や黄斑など)が避けられない方もまれにおられます。術後、3~4日目になると腫れ止めが切れるため傷口が腫れてきますが、殆どの場合、1週間程度で傷口は治ります。 • 術中に、歯牙や骨の状態により手術内容が予定より変更することも起こりえます。 • 術中に、予定していた骨の量が足りない場合には、追加の骨造成が必要になることがあります。(治療代5万円) • 喫煙、飲酒は正常な治療の妨げとなります。術後1週間は控えてください。 • 処方された薬剤の服用により吐き気、めまい、眠気、咳、お腹が緩くなるなど一時的な副作用が現れることがあります。 • インプラントの耐久性は、天然歯同様、口腔衛生状態(喫煙の有無、喫煙者の協力度、咬合力、咬み合わせ、骨量、歯肉量、歯磨き、メンテナンス)により変化します。 • 治療後、知覚過敏や痛みなどが出たり、吸収された骨が再生しなくなることがあります。 • また、歯肉が退縮して歯が長く見えたり、歯と歯の隙間が広くなったりすることもあります。 |
治療費・お支払方法
FEE
【治療費改定のお知らせ】
いつも当院へご来院頂きありがとうございます。この度、昨今の材料費ならびに関連費用の高騰に伴い、治療費を2025年3月1日より改定させて頂きました。今後とも、皆様に安心して治療を受けていただけるよう、スタッフ一同努めて参ります。何卒ご理解とご協力の程お願い申し上げます。
| CT撮影・模型デジタルデータ | 片顎 24,200円 |
|---|---|
| 上下顎 24,200円 | |
| インプラント埋入手術(1本) | 231,000円 |
| 2次手術(1/2顎ごとに) | 14,500円 |
| インプラント仮歯(1本) | 26,600円 |
| 上部構造(アバットメント等込)(1本) | 220,800円(エコノミータイプ 169,000円) |
| 静脈内鎮静法麻酔(麻酔認定医出張による) | 66,500円 |
| サージカルステント・3Dガイド | 24,200円(1歯追加ごとに4,620円) |
| GBR・インプラントOPE | 44,000円 |
| GBR(単独) | 110,000円 |
| ソフトソケット | 66,000円 |
| メンブレン | 26,600円 |
| 強化型メンブレン | 38,700円 |
| 人工骨(2歯ごとに) | 22,000円 |
※表示は全て税込表示です。
※処置や本数によって費用は異なりますので
一度ご相談ください。
- お支払方法 -


当院は、現金または各種クレジットカードとデンタルローンでのお支払いが可能です。
JCB / AMERICAN EXPRESS /Diners / VISA / MasterCard
医療費控除
インプラントの治療費は医療費控除の対象となることがあります。
医療費控除とは、自分自身、または生計を一にする配偶者やその他の親族のために1年間で10万円以上の医療費を支払った場合に、一定の金額を所得金額から控除できる制度です。(その年の1/1~12/31までに支払った医療費であること)詳しくはお気軽にお尋ねください。
当院ではインプラント治療の相談を
行っております。
まずはお気軽にご相談ください。

GREETING
理事長挨拶
日本口腔
インプラント学会
専門医
私がインプラント治療を始めて25年以上が経ちました。
複合的かつ総合的な治療であるインプラント治療に魅力を感じ、自分のメインテーマとして取り組んで参りました。
また、インプラント治療の成功のためには口腔外科、歯周病の治療とメンテナンス、補綴(噛み合わせ、被せ物)、審美、矯正の知識などが必要と感じてその習得にも努めてきました。
おかげさまで多くの患者様にインプラント治療をしてよかった、とのお声をいただいております。
歯科医療は常に進歩しており、私たちも学会等で常に情報をアップデートし、これからもより良い医療が提供できるよう努力いたします。
また、歯科においてもデジタルの進歩はめざましく、当院のインプラント治療もデジタル化を進め、より精度の高い診査・診断・治療が行えるよう体制を整えております。
医療法人港央会では安心、安全で長期的に安定するインプラント治療を患者様にご提供できるよう、歯科医師、衛生士、技工士、麻酔医がチームで治療を担当いたします。
歯を失ってお困りの方のお力になれますよう全力を尽くします。
医療法人港央会
理事長 榊原 毅
Takeshi Sakakibara
医院情報
CLINIC



〒222-0023
神奈川県横浜市港北区仲手原2-43-33
| 診療時間 | 月 | 火 | 水 | 木 | 金 | 土 | 日 | 祝 |
|---|---|---|---|---|---|---|---|---|
| 9:30~13:00 | ● | ● | ● | ● | ● | ● | / | / |
| 14:30~18:00 | ● | ● | ● | ● | ● | ● | / | / |
休診日:日曜日・祝日(※日曜日は毎月1度、矯正治療を行います)
日曜日は要予約:9:30-13:00 / 14:00-16:30
電車でお越しの方へ
東急東横線「妙蓮寺駅」から徒歩1分
横浜駅から妙蓮寺駅まで電車で6分
渋谷駅から妙蓮寺駅まで電車で25分
近くのコインパーキング



〒158-0083
東京都世田谷区奥沢5丁目25-8
アポラン自由が丘2F(1F セブンイレブン)
| 診療時間 | 月 | 火 | 水 | 木 | 金 | 土 | 日 | 祝 |
|---|---|---|---|---|---|---|---|---|
| 9:30~13:00 | ● | ● | / | ● | ● | ● | / | / |
| 14:30~18:00 | ● | ● | / | ● | ● | ● | / | / |
休診日:水曜日・日曜日・祝日(※祝日週は水曜日に診療を行うことがあります)
電車でお越しの方へ
「自由が丘駅」南口徒歩2分
セブンイレブン2F
FAQ
よくあるご質問
年齢制限はありますか?
若年者は骨の成長が終わる18歳以上の方が対象ですが、個人差があります。
また、80歳以上のお年寄りの方でも治療はできますので、お気軽にご相談下さい。
インプラントはどのくらい使えますか?
個人差はありますが、近代インプラントの開発者であるスウェーデンのブローネマルク教授の最初の患者様のインプラントは、1965年に埋入され、その後亡くなるまでの間41年間機能し続けました。
治療期間はどのくらいかかりますか?
インプラント手術をする際の状態によって異なりますが、最短6週間程度で被せ物が入ります。
骨の状態が悪い場合は、3ヶ月~4ヶ月かかる場合もあります。
治療期間には個人差があるので、精密検査時に詳しくお伝えさせていただきます。
治療後気をつけた方がいいことはありますか?
生活習慣の改善やセルフケアの徹底など、歯を失ってしまった根本的な問題を改善することがとても重要です。定期検診はインプラントだけではなく、どんな治療の後でも大切で、通院をしていただく必要があります。当院では、一人ひとりの状態に合わせて適切な期間で通院をしていただけるように、アドバイスをさせていただきます。
手術時痛みはありますか?
手術の際には、麻酔を行うため、痛みを感じることはありません。しかし、手術後に麻酔が切れた後に痛みが出たり、腫れたりする場合があります。その場合は、鎮痛剤をお出ししますのでご安心ください。